『キレイラインKIDS』で、きれいに永久歯が生え揃う土台作りを
2020年9月より提供スタートした小児用矯正歯科治療プログラム『キレイラインKIDS』(キレイラインキッズ)から、新たに治療の推奨年齢に3~5歳*が追加されました。
*3〜5歳のお子様は、反対咬合のみ適応となります。顎関節症のお子様は適応外となります。また、初診時に7番(12歳臼歯)が萌出しているお子様も、原則適応外となります。

『キレイラインKIDS』は2020年9月より、推奨年齢6~12歳(初診時年齢6~11歳)の小児用矯正歯科治療プログラムとして提供をスタート。お子様の悪習癖を改善することで、永久歯がキレイに生え揃う土台作りをサポートしています。そして新たに3~5歳(*1)のお子様の治療が可能となり、さらに幅広く対応できるプログラムにアップデート。また、万が一『キレイラインKIDS』で満足な改善が見られなかった場合、追加費用15万円(税込16万5,000円)で『小児矯正(I期治療)』(*2)をご案内することが可能になりました。通常の小児矯正の目安の費用(*3)より、低価格で綺麗な歯並びを目指すことができます。

『キレイラインKIDS』+小児矯正(Ⅰ期治療)と、小児矯正(床矯正)との価格比較 ※同社調べ
(*1)3~5歳の適応は、反対咬合のみです。また、顎関節症のお子様は適応外、治療開始時に7番(12歳臼歯)が萌出しているお子様は、原則適応外となります。
(*2)12歳頃に第二大臼歯(7番・12歳臼歯)が萌出し、小臼歯(4番・5番)の歯根形成が完了します。ここまでに行う治療をⅠ期治療とよびます。これ以後の矯正は成人矯正(Ⅱ期治療)と同じ内容となり、キレイライン矯正やワイヤー矯正(全顎矯正)が可能となります。21歳未満、かつ同一法人内の提携クリニックにおいて、キレイライン矯正4回コース以上のご契約の場合、コース料金より15%割引いたします。なお、リテーナーなどのコース料金以外の費用、拡大床などキレイライン矯正以外の提携クリニックによる追加治療の費用は割引対象外です。
顎の成長や個人差により小児矯正(Ⅰ期治療)で全ての患者様が希望する歯列になるわけではありません。また、小児矯正(Ⅰ期治療)は『キレイラインKIDS』による矯正歯科治療の一環ではなく、患者様のご要望や症状により歯科医師の判断のもと行われる「クリニックの治療」に該当します。詳細は、提携クリニックに直接ご確認ください。
(*3)自社調べ
『キレイラインKIDS』は、どんな治療法?

『キレイラインKIDS』は、歯並びや顎の成長、発育に大きく影響する口腔悪習癖(口呼吸・指しゃぶり・舌癖・爪噛みなど)を改善し、口腔周囲筋の正しい発達を促すことによって永久歯が正しく生え揃うことを目指す、小児用矯正歯科治療プログラムです。起床後の1時間、マウスピースの装着を行います。慣れてきたら日中3時間の装着を目標に、舌やお口の周りの筋肉をトレーニングし、口腔悪習癖の改善を目指します。
※使用に慣れてきましたら、起床時の1時間以上と就寝時(8時間程度)の装着を推奨しております。
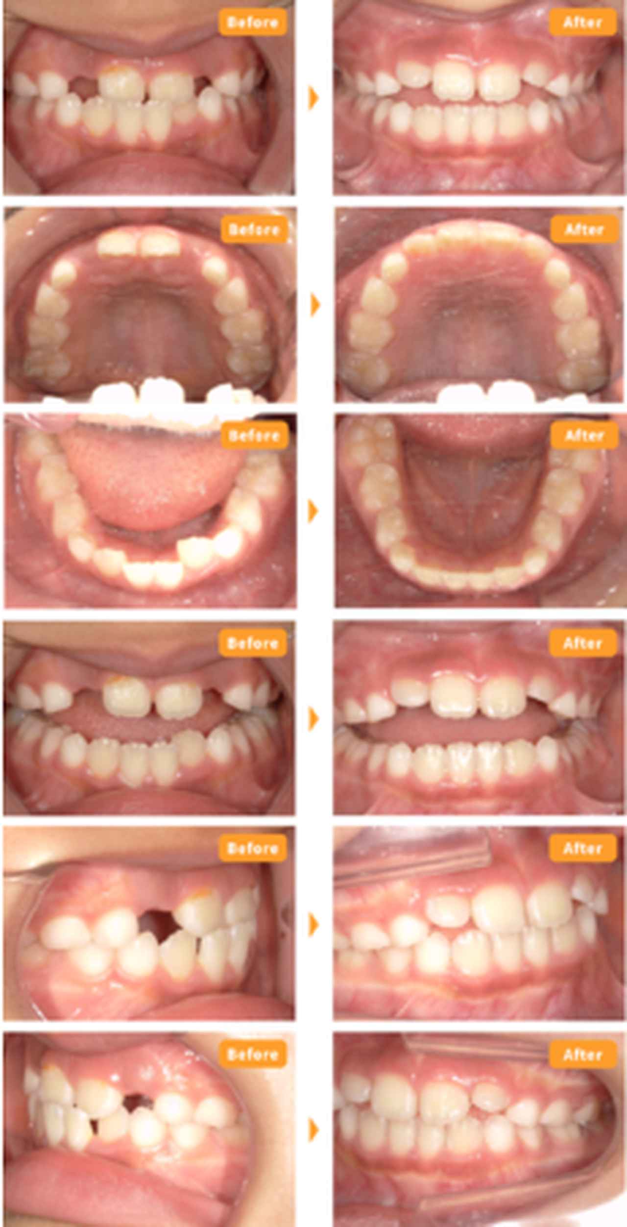
『キレイラインKIDS』の症例
・初診時年齢:7歳
・主訴(保護者様の言葉として):上顎2番が1年くらい生えてこない状態です。歯科医院も2軒行きましたが、スペースがなくまだ生えてこないだけと言われて心配しておりました。
・診断(ドクターコメント):上下顎2番のスペースがなく、叢生。
・治療期間:約9ヶ月半
・装着時間:起床後の1時間、就寝時8~10時間装着
・ドクターコメント:乳歯が抜けてから生えてこなかった右上2番が、キレイラインKIDS装着から1~2ヶ月程度で萌出しました。上下顎ともアーチフォームの改善や叢生の改善が認められます。一般的にはこれで治療終了とされていますが、本来は犬歯(3番)が揃うまで見守るのが小児矯正のゴールと考えます。今後、犬歯萌出まで様子を見ましょう!
・初診時年齢:8歳
・診断(ドクターコメント):受け口、下顎叢生
・治療期間:約1ヶ月半
・装着時間:日中3時間、就寝時9時間装着
・ドクターコメント:治療期間は1ヶ月半と短期間ではありますが、前歯の逆被蓋が改善され、上顎両側2番の萌出が顕著に認められました。下顎の叢生もきれいに改善されました。
※ただし、キレイラインKIDSは、口腔周囲筋の正しい発達を促すことによって永久歯が正しく生え揃うことを目指す治療プログラムです。お口の周りの悪習癖を改善させるトレーニングを目的としていますので、日中最低1時間以上と就寝中の装着を少なくとも半年以上続けていただくことをお勧めいたします。
症例に関する注記
※キレイラインKIDSは、口腔周囲筋の正しい発達を促すことによって永久歯が正しく生え揃うことを目指す治療プログラムです。審美的歯列に整える治療ではありません。
※効果には個人差があります。
※お写真はすべて親権者様の許可を得て掲載しています。
※掲載している症例は、治療中の方も含みます。
※治療期間・治療回数を元に最新の料金を記載、期間は実際にかかった治療期間を記載しています。
※上記に記載している各症例の治療費用以外に、初回検診料3,500円程度(税別)が別途発生します。
※ご契約から1年以内であれば、診察の都度、再診料がかかることはありません。
※2年目からは、診察の度に5,000円程度(税別)の費用がかかります。
※キレイラインKIDSとは別で、提携クリニックによる治療(乳歯の抜歯・ブラッシング治療など)を受けられた場合は、別途料金がかかります。
※症例写真に関するご不明点やご質問がありましたら、メール・LINEにてお問い合わせください。
support@kireilign.com
キレイライン矯正・キレイラインKIDS【サポート専用】はこちら
(リンク先:https://lin.ee/0i1rpVo)
「反対咬合(はんたいこうごう)」とは、どのような症状?
子供に限らず、上顎の全ての歯は、下顎の歯よりも少し外側に咬む状態が「正常な咬合」で、この逆の状態が「反対咬合」です。「受け口」と呼ばれることもあるこの症状は、上顎よりも下顎の歯が外側に出た状態を指します。多くは前歯部に見られますが、奥歯で起こることもあり、これを放っておくと、顎骨の成長に伴って顔が曲がるなどの症状が現れることがあります。

『キレイラインKIDS』のプログラムで使用されるマウスピースは、下顎前歯への圧力を排除し、上顎前歯に圧力が加わる設計で作られています。これによって、反対咬合のお子様の特徴である低位舌を改善することが期待できます。昨年の『キレイラインKIDS』をローンチ後、多くの親御様より、「3歳の子供が反対咬合です」「4歳の子供の受け口は治りますか?」といったお悩みや相談が多く寄せられました。乳歯列期のお子様のためにデザインするマウスピースは、上顎骨の成長発育促進を目的とし、混合歯列期前〜中期のお子様向けとは設計が異なる場合があります。昨年の『キレイラインKIDS』提供開始と同時に開発を進めておりましたが、この度無事に提供可能な体制を整えることができました。

『キレイラインKIDS』3つの特徴
①従来の小児矯正(床矯正)よりも手頃な価格を実現
従来の小児矯正(床矯正)の費用の目安は、30〜60万円(税込33~66万円)ほどかかるのに対し、『キレイラインKIDS』は従来の50%以下の価格設定を実現しました。通院費を含めた総額15万円(税込165,000円・初回検診費用・2年目以降の通院費用は別途)で、お子様の永久歯が正しく生え揃う土台作りをサポートします。
②日本人の子どもに合わせた設計で、効果的な治療を実現
『キレイラインKIDS』は、日本人の顔の形や顎骨、歯並びにフィットし、十分な治療効果が発揮できるようこだわって設計・開発しました。海外ブランドの装置に起こりうる「歯列のアーチ形状に合わない」心配がありません。
③装着時の痛みがほとんどない
子供の歯科矯正の一番の敵は“痛み”。従来の矯正では常時、歯に力を加えて動かすため、痛みが伴います。一方で『キレイラインKIDS』は、悪習癖を改善し、口の周りの筋肉(口腔周囲筋)を正しく発達させる治療プログラムです。歯に力を加えるのではなく、自然な歯並びの改善を目指すので、痛みがほとんどなく安心です。
『キレイラインKIDS』ブランド概要
・名称 : キレイラインKIDS(キレイラインキッズ)
・開始日 : 2020年9月23日
・推奨年齢:3~12歳(初診時年齢3~11歳)
・提携クリニック所在地:北海道・宮城・新潟・石川・東京・神奈川・千葉・埼玉・静岡・愛知・京都・大阪・兵庫・岡山
※3〜5歳に関しては、反対咬合のみ適応となります。顎関節症の症状をもつお子様は、『キレイラインKIDS』の対象外となります。また、治療開始時に第二大臼歯(7番)が萌出しているお子様も、原則適応外となります。
※近い年齢で初回検診の受診を強く希望される場合は、予約フォーム内【その他・ご希望等】に記入のうえ、提携クリニックとご相談ください。
・料金: 15万円(税込16万5,000円)※
※月々3,125円(税込3,437円)の分割が可能な提携クリニックもございます。デンタルローンを利用し、分割手数料0円の48回払いでお支払いいただいた場合の料金です。また、一部の提携クリニックでは、デンタルローンの取り扱いがございません。ご希望の提携クリニックがデンタルローンを取り扱っているかは、直接クリニックにお問い合わせ下さい。
※提携クリニックによっては分割手数料が発生し、月々のお支払い金額やお支払い総額が異なる場合がございます
・治療期間の目安:1年間以上
・提供クリニック :https://kireilign.com/clinic?ads=rls_kidsnew
・公式サイト : https://kireilign.com/kids
(初回検診予約:https://lp.kireilign.com/yoyaku?brand=kidsnew)



